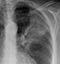
COPD – Hyperexpansion
Hover on/off image to show/hide findings
Tap on/off image to show/hide findings
COPD – Hyperexpansion
- In normal subjects the diaphragm is intersected by the 5th to 7th anterior ribs in the mid-clavicular line
- It is often difficult to see the ribs in patients with COPD as they are osteopenic due to long term steroid use - as in this patient
- In this image, the 7th ribs, which are only just visible, intersect the diaphragm (red lines) level with the mid-clavicular line – so are the lungs hyperexpanded?
- Patient positioning and use of accessory muscles of respiration can influence the anatomical positioning of the ribs on a chest X-ray
- Flattening of the diaphragm (red lines) is often a more reliable feature of lung hyperexpansion
- The green dotted lines indicate the predicted normal diaphragm shape and position
COPD – Floating heart sign
Hover on/off image to show/hide findings
Tap on/off image to show/hide findings
COPD – Floating heart sign
- The lungs may be so hyper-expanded that the inferior border of the heart becomes visible – the heart appears to float above the diaphragm
- Note the flattened hemidiaphragms (white dotted lines)
COPD – bullous emphysema
Hover on/off image to show/hide findings
Tap on/off image to show/hide findings
COPD – bullous emphysema
- Bullous emphysema manifests on a chest X-ray with areas of low density (black) with thinning of the pulmonary vessels, predominantly affecting the upper zones
- The lower part of the lungs may appear denser (whiter) in normal subjects because of overlying breast tissue, but in this individual the pulmonary vessels appear normal in this area
COPD – bullous emphysema
Hover on/off image to show/hide findings
Tap on/off image to show/hide findings
COPD – bullous emphysema
- Occasionally bullae are seen as discretely outlined holes in the lungs which resemble bubbles
COPD – Large bullae
Hover on/off image to show/hide findings
Tap on/off image to show/hide findings
COPD – Large bullae
- Bullae can get very large and must not be mistaken for a pneumothorax – inserting a chest drain can have catastrophic consequences in this setting
COPD – infective exacerbation
Hover on/off image to show/hide findings
Tap on/off image to show/hide findings
COPD – infective exacerbation
- The lungs are hyper-expanded – the diaphragm is flattened and too low
- There are large areas of black due to bullae
- A large area of consolidation in the left lung is due to pneumonia
