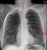
Large pneumothorax - early tension
Hover on/off image to show/hide findings
Tap on/off image to show/hide findings
Large pneumothorax - early tension
- A large pneumothorax is usually easy to recognise, but always check for signs of tension.
- Rising pressure within a hemithorax reduces venous flow to the heart, potentially leading to rapid death.
Signs of tension
- Right heart border (white arrows) and left heart border (black arrows) shifted to the left
- Right hemidiaphragm slightly depressed - should be higher than the left
- Minor shift of the trachea - unlikely to be clinically detectable
- Don't waste time discussing the exact definition of a tension pneumothorax - this patient needs attention - NOW! Start with ABC and get help
